Bone Tissue Engineering
The goal of this study was to investigate whether a biocomposite electrospun scaffold has the ability to induce differentiation of hMSCs into osteogenic lineage without specific growth factors.
This study was conducted by researchers at the University of Malaya. Three scaffolds were generated by The Electrospinning Company for this purpose: PLLA + collagen, PLLA + hydroxyapatite (HA) and PLLA + collagen/HA. The morphology, chemical composition, and surface roughness of the fibrous scaffolds were examined. Furthermore, cell attachment, distribution, morphology, mineralization, extracellular matrix protein localization, and gene expression of human mesenchymal stromal cells (hMSCs) differentiated on the three types of fibrous were also analyzed.
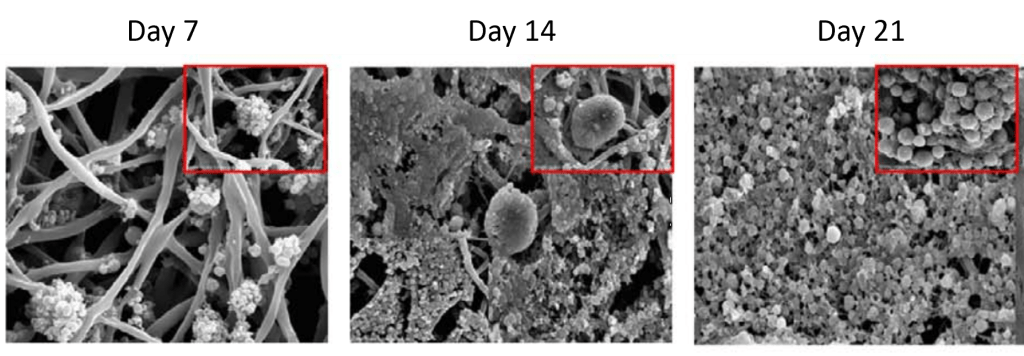
Image: 21-day culture of hMSCs in the PLLA + collagen/HA scaffold, showing mineral deposition on the surface of osteoblast-like cells at day 14 and 21.
The electrospun scaffolds demonstrated well-formed interconnected fibrous network structure, which supported the growth of hMSCs. PLLA + collagen/HA scaffolds presented the highest density of viable cells and significant upregulation of genes associated with osteogenic lineage, which were achieved without the use of specific medium or growth factors. These results were supported by the elevated levels of calcium, osteocalcin, and mineralization (P<0.05) observed at different time points (0, 7, 14, and 21 days). Furthermore, electron microscopic observations and fibronectin localization revealed that PLLA + collagen/HA scaffolds exhibited superior osteoinductivity, when compared with PLLA + collagen or PLLA + HA scaffolds.
Image: Alizarin red staining at day 21 to visualise calcium-rich deposits in the three different scaffolds.
These findings indicate that the fibrous structure and synergistic action of collagen and HA with high-molecular-weight PLLA played a vital role in inducing osteogenic differentiation of hMSCs. The developed fibrous PLLA + collagen/HA biocomposite scaffold may be supportive for stem cell based therapies for bone repair.
Source: H. R. B. Raghavendran, S. Puvaneswary, S. Talebian, M. R. Murali, S. V. Naveen, G. Krishnamurithy, R. McKean, T. Kamarul “A comparative study on in vitro osteogenic priming potential of electronspun scaffold PLLA/HA/Col, PLLA/HA, and PLLA/Col for tissue engineering applications” In press, DOI: 10.1371/journal.pone.0104389.




